Page


TwinTree Insert

PR-Spaceholder

Capítulo Nueve
La imagen de RM
Fundamentos de las Caracteristicas de la Imagen


09-01 Introducción


n diagnostic imaging, the contents depicted on an image should reflect the es­sen­ce of the original information as objectively as possible. However, there are li­mi­ta­tions, as we have seen earlier: for instance, hardware and software of the MR equipment and possibly other outside forces influence image content (Figure 09-01).


Figura 09-01:
Object and ‘mirror’ image — excitation, in this case with a broom, will change picture elements soon.


09-01-01 Volume and Picture Elements


In computerized imaging, be it nuclear medicine imaging, x-ray CT or an­giog­ra­phy, or magnetic resonance imaging, pictures are composed of elements, called picture ele­ments or pixels, which, in turn, reflect the content of volume ele­ments or vo­xels.

Note, that this does not hold for conventional or digital radiography; here you get a shadowgram — it is not a tomographic or three-dimensional technology.

In principle, voxels could be as small as a single cell. In reality, however, voxel size depends on a number of limiting factors, with computer capacity and the sig­nal ob­tain­ed from an individual voxel being the main obstacles.

Therefore, for instance, 256×256×1 voxels are created of a slice of an object and turn­ed into pi­xels. These 256×256 picture elements are called the image matrix. Fi­gu­re 09-02 explains this.


Figura 09-02:
Voxel and pixel. We want to image an entire person who for this purpose is mathematically divided in­to volume elements. In each voxel, the sig­nals are averaged and turned in­to a number which re­pre­sents a certain level on a gray scale. These num­bers are then used to create a picture consisting of pi­­xels.


09-01-02 Image Matrix and Field-of-View


The image matrix is characterized by the number of pixels in the x- and y-di­­rec­­tions. It is defined by the steepness of the x-gra­dient (the fre­quen­cy-en­cod­ing gra­dient) and the number of phase-encoding steps in the y-gradient. Both com­­bi­n­ed re­pre­sent the field-of-view (FOV), as shown in Figure 09-03.

If the FOV is the whole head with an edge length of 25.6 cm and a matrix size of 256×256 is used, then a single pixel represents 1 mm. If the FOV is smaller (e.g., 12.8 cm) and the same matrix size is used, the spatial resolution is 0.5 mm.


Figura 09-03:
Image matrix and field-of-view. In this case, we have an image matrix of 6×6, i.e., a grid of 6 rows and 6 columns with a total number of 36 pixels. Usually in MR imaging, the field-of-view is at least 256×256. Commonly, individual voxels and pixels are larger in body imaging than in head imaging.


09-01-03 Spatial Resolution and Partial Volume Effects


As in other digitized imaging methods, voxel and pixel size influence spa­tial re­­so­­lu­­tion and thus contrast. All anatomical structures within one voxel add to its ave­rag­ed si­gnal intensity in the final image. If the voxel has a large volume, it can con­tain many different structures and tissue types. In the final image pixel, they will be in­­dis­­tin­­gu­i­sh­able. If the voxel can be kept smaller, less structures will be represented by one single pixel, and therefore spatial resolution and, possibly, contrast will be bet­ter.

Data acquisition and reconstruction meth­ods define different voxel shapes.

Isotropic reconstructions use cubes, while in anisotropic methods one side is lon­ger than the two others. Although they may look the same in the picture plane, the content and thus the calculated number for the gray level representation in the pi­xel can be different (Figure 09-04).


Figura 09-04:
Different slice thickness (a) can lead to iso­tro­pic or anisotropic volume elements (b) and dif­fe­rent sig­nal in­ten­si­ties.


The sometimes blurry features of these im­ages are caused by the averaging of dif­fe­r­ent struc­tu­res. This is known as partial vol­ume effect. The smaller the pixel size, the better will be the suppression of partial volume ef­fects (Figure 09-05).


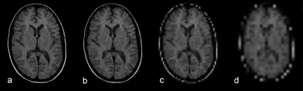
Figura 09-05:
Spatial resolution and partial volume effects: matrix size (a) 256×256, (b) 128×128, (c) 64×64, and (d) 32×32. Due to the partial volume effects, anatomic details disappear.
Simulation software: MR Image Expert®


However, the bigger the voxel size, the better will be the signal (and signal-to- noise). In general, the signal-to-noise is the determining factor for the final voxel-ver­sus-pixel size.

Increasing the matrix size from 128×128 to 256×256, while keeping field-of-view, slice thickness and imaging constant, will reduce the signal-to-noise ra­tio by a fac­tor of 4. Thus, the signal-to-noise has to be high enough to permit the increase in re­so­lu­tion.