TwinTree Insert

13-04 Targeted and Organ-Specific Contrast Agents


ne of the ultimate goals of con­trast agent research in MR imaging is the de­ve­lop­ment of com­pounds that actively identify specific tissues or pa­tho­lo­gies. In order to target organs and to obtain higher disease specificity, iron oxides and li­po­so­mes have attracted particular interest. To op­ti­mi­ze such agents, one has to evaluate at least three parameters:

spaceholder darkblueImprovement of tolerance — although the tolerance of existing com­pounds is al­ready very good; this in­clu­des chemical and biological in­ert­ness, as well as com­plete elimination from the body;

spaceholder darkblueimprovement of the enhancing effect; high and ultrahigh fields might require a dif­fe­rent contrast agent than low and medium/high fields;

spaceholder darkblueselective distribution in the body to reach high local con­cen­tra­tions (organ or pa­tho­logy specific tra­cers).


Liposomes

Liposomes are one group of particulate contrast agents. Pa­ra­mag­ne­tic ions can either be encapsulated in the aqueous compartment of the li­po­so­mes or be linked to their lipid bilayers. Both manganese and gadolinium che­la­tes have been attached to liposomes and studied preclinically. More so­phis­ti­ca­ted liposome compounds have been proposed, among them phospholipid spin-labelled and amphipathic chelate com­ple­xes. None of these compounds are clinically used.

Iron-based Contrast Agents

Iron chelates. In the 1980s and 1990s many avenues were explored in contrast agent research, among them iron chelates analogous to the gadolinium chelates, e.g. Fe-DTPA and Fe-tCDTA. These compounds are positive enhancers that were thought to be usable for indications similar to the gadolinium-based ECF-space agents.

However, the relaxivities of the Fe-chelates were substantially weaker; sufficient enhancement required a major dose increase. Moreover, toxicological aspects added to the abortion of the development of iron chelates; severe acute side effects were observed, and long-term effects were predicted [⇒ Wesby 1984, ⇒ Tweedle 1988, ⇒ Duewell 1991 ⇒ Tweedle 2018].

Iron oxides. Iron-oxide particles are incorporated into cells of the reticulo-en­do­the­li­al system (RES) through phagocytosis. This opens a selective access route to liver, spleen, lymph nodes, and bone marrow. The particles can also be applied for re­cep­tor and antibody imaging, as well as perfusion imaging of the heart and the brain.

The agents can either be positive (T1) or negative (T2/T2*) enhancers, de­pend­ing on particle size, composition and concentration, sa­tu­ra­tion mag­ne­ti­za­tion of the material, as well as equipment hardware and pulse sequences used. Three classes of superparamagnetic nanoparticles exist; they depend on their particle size (Table 13-04). Their biodistribution is determined by size, shape, charge, hy­dro­phi­li­ci­ty, chemical composition, and surface coating (cf. negative contrast agents | sus­cep­ti­bi­li­ty effects) [review article: ⇒ Corot, ⇒ Laurent 2008, ⇒ Dallet 2021].


Tabla 13-04:
Classes of superparamagnetic na­no­par­tic­les depending on their particle size.


The majority of compounds are polydis­perse (more than one size population of iron oxide crystals) and polycrystalline (particle aggregates). Actively targeted iron oxides preferably contain smaller super­paramagnetic labels [⇒ Chertok 2008]; they are monodispe­rse (only one size population of iron ox­ides) and monocrystalline (= MION, i.e., each particle consists of only one crys­tal).

Used intravenously, such particles should possess a (postulated) particle size smaller than 50 nm in diameter so that they are not entrapped during their passage through the lungs.

Because of severe side effects, among them serious and life-threatening ana­phy­lac­tic reactions and immune responses, some iron oxide nanoparticles were with­drawn from most markets. Iron can also be deposited in the choroid plexus.

For some time, ferumoxtran-10 is being clinically re-evaluated. It is claimed to detect early-stage cancer metastases in lymph nodes in patients with progressive prostate cancer [⇒ Frantellizzi 2020, ⇒ Harisinghani 2003]. Similarly, ferumoxytol has been proposed as a vascular contrast agent, particularly for patients with chronic kidney disease [⇒ Weissleder 1990, ⇒ Stoumpos 2019]. It was originally designed as an intravascular contrast agent but commercialised as an intravenous iron therapy for anemia.


13-04-01 Liver Agents


The liver has been selected as the primary organ for developing passive tar­ge­ting compounds: vascular, hepatobiliary, and reticuloendothelial. Different pos­si­ble enhancement patterns are depicted in Figure 13-12.


Figura 13-12:
Enhancement patterns of different liver contrast agents (modified from ⇒ Leander).


Aside from the vascular structures, either the hepatocytes or the RES can be tar­ge­ted. Vascular structures and highly vascularized lesions are commonly highlighted by dynamic examinations with the conventional low molecular weight contrast agents (Figure 13-13). Dynamic imaging is discussed in detail in Chapter 16.


Figura 13-13:
Focal nodular hyperplasia (FNH) of the liver. Dynamic en­hance­ment with Gd-DOTA; first high­light­ing of the arterial vessels, then strong en­hance­ment of the tumor during the early phase of ar­te­rial en­hance­ment; followed by the depiction of the veins. Timescale approximately 90 seconds.


Gd-EOB-DTPA and Gd-BOPTA are two positive gadolinium based agents with lipo­philic side groups. Gd-EOB-DTPA [⇒ Runge] is a targeted liver agent, whereas Gd-BOPTA is a multipurpose contrast agent, well suited for liver imaging [⇒ Spinazzi].

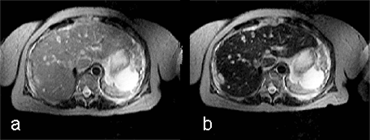
Although the chemical composition of Gd-BOPTA appears similar to that of the extracellular gadolinium agents, it combines both extracellular and liver-targeted properties, because some 5% of it is excreted through the liver, as is shown in this case of multiple metastases (Figure 13-14).


Figura 13-14:
Gadolinium-BOPTA in liver metastases of a pancreatic tumor.
(a) plain T1-weighted GRE sequence; (b) plain T2-weighted GRE sequence; (c) enhanced T1-weighted GRE sequence 40 minutes after injection; (d) T1-weighted GRE sequence 90 minutes after injection.


Ferumoxides, or super-paramagnetic iron oxides, are negative enhancers taken up by the normal liver, which contains reticuloendothelial cells, but not by lesions that lack reticuloendothelial cells (Figure 13-15) [⇒ Paley; cf. iron oxides].


Figura 13-15:
Example of a negative liver contrast agent (ferumoxide). This particulate agent is taken up by en­do­the­lial and Kupffer's cells. They darken the liver tissue due to their effective shortening of the T2 relaxation time.
 T2-weighted GRE: (a) precontrast; (b) postcontrast. The liver metastases are well delineated on the post-contrast image; with this agent, the normal liver tissue becomes black.


13-04-02 Targeted Manganese Agents


Manganese was the first element applied to enhance pathologies in MR imaging; its use was described by Lauterbur, Mendonça-Dias and Rudin in 1978 [⇒ Lauterbur 1978]. They imaged five dogs with myocardial in­farc­tions after in­ject­ing a man­ga­nese salt so­lu­tion and were able to highlight the lesions. Manganese was chosen be­cause it is only moderately toxic and its distribution and elimination had been in­ves­ti­ga­ted earlier.

Yet, gadolinium became the element of choice for MR contrast agents because of its high relaxivity and patent issues. However, it is an element foreign to the human body whereas man­ga­nese is an endogenous metal and essential trace element. During the last 25 years, there is increasing activity in the preclinical research of Mn-based agents (MEMRI — manganese-enhanded magnetic resonance imaging).

How­ever, the only compound available on the market for some time was Mn-DPDP (mangafodipir — Teslascan); it was withdrawn from US and EU markets in 2012 because of un­suc­cess­ful marketing and concerns over potential toxicity. It remains to be seen whether a successor for cardiac applications will reach the commercial market. A number of oral manganese drugs were proposed and introduced but their absorption in the human body is not exactly calculable and predictable.

Mn-DPDP (Figure 13-16) is a positive multipurpose agent ta­ken up by, e.g., the he­pa­to­cytes [⇒ Rummeny 1997]. The contrast enhancement seems to be connected to a limited release of manganese ions. The enhancement is long last­ing and can be achieved with low doses. While on the market for liver applications, mangafodipir was the preferred agent in patients with kidney problems. Oral or intravenous MnCl2 can have a similar effect.


Figura 13-16:
The uptake of Mn-DPDP (mangafodipir) in the liver relies on the ability of hepatocytes to excrete metal ions. Manganese separates from the DPDP-complex and is taken up by the hepatocytes.
 T1-weighted GRE images. (a) The metastases are well delineated 15 minutes after the injection, and (b) even 24 hours after administration some of the contrast agent remains.


Manganese also has an affinity for the myocardium and can act as biomarker in heart disease. Manganese ions compete with calcium for entry into cardiac cells. There the ions bind to macromolecules and influence the relaxation of cell and tis­sue water. Heart diseases gradually inactivate calcium transport mechanisms due to lower metabolic activity. Thus, manganese uptake is reduced accordingly; man­ga­nese-induced changes of tissue relaxation reflect tissue calcium homeostasis and thus myocardial viability (Figures 13-17 and 13-18) [⇒ Skjold 2004, ⇒ Skjold 2007] and allows the assessment of stunned and viable myocardium [⇒ Spath 2021, ⇒ Singh 2023].


Figura 13-17:
Mn-DPDP: A short axis single shot IR Turbo-FLASH image of a heart before contrast agent application (top), and another image of the same heart with the same parameter settings one hour after the end of the contrast agent infusion (bottom).
 To the right of each image sectoral divisions of the left ventricle are shown, depicting R1 color maps of the respective slice. The left ventricle shows a marked change in contrast (modified from Skjold 2004).


Figura 13-18:
Follow-up of a cardiac infarction. Manganese-enhanced myocardium (Mn-DPDP, man­ga­fo­di­pir) showing an infarcted region in the lateral wall of the left ventricle (dark wall region).
(Image courtesy of Dr. Arne Skjold, Trondheim, Norway).


In addition to imaging of the liver and the heart, manganese-enhanced MRI with mangafodipir has a wide range of potential applications. Research is focused upon both depiction of brain damage and functional mapping of neural pathways to map brain activation independently and with higher contrast than measurements of hemodynamics in fMRI [⇒ Sudarshana 2019].

During the development of mangafodipir it was discovered that it and its meta­bo­lite manganese pyridoxyl ethyl-diamine (Mn-PLED) possess therapeutic properties. Mn-DPDP’s contrast enhancement in MR imaging relies on the release of manganese from the chelate, the therapeutic activity depends on manganese that remains bound to the chelate [⇒ Jynge 2020]. Mangafodipir may have a cardioprotective role in reducing reperfusion injury [⇒ El‐Saadi 2023].