TwinTree Insert

10-06 Gradient Echo Sequences


or many clinical indications, rapid imaging sequences are essential to avoid long imaging times, which can cause motion artifacts, be inconvenient to pa­tients — and reduce pa­tient through­­put. Imaging time can drop from se­ve­ral minutes per standard SE ima­ge to seconds or even milliseconds. The number of specific indications of par­ti­cu­lar rapid pulse sequences has steadily increased over the last few years.

GRE se­que­nces were the favorite rapid imaging sequences; however, the popularity of sequences in the RSE and EPI families is constantly increasing.

For faster imaging, the num­ber of averages, the number of matrix points or image lines, or the re­pe­ti­tion times have to be shor­ten­ed. In general, signal-to-noise ratio and spatial resolution will worsen with faster imaging methods, but as stated, a good clinical diagnosis does not necessarily require beautiful image quality, but suf­fi­cient image qua­li­ty. The main contrast parameters of conventional and rapid se­quen­ces are sum­ma­ri­zed in Table 10-05. Actual weighting of the sequences depends on a number of factors and might not be available on all MR imaging machines.


Tabla 10-05:
Pulse sequences and their contrast de­pen­dence. The signal of all pulse sequences is influenced by ρ and by bulk flow.


The T2*-de­pen­dent PS sequence equals a GRE sequence.

GRE sequences take advantage of the saturation of the spin system when TR is shor­ten­ed. The signal intensity after a series of 90º pulses becomes weaker, until an equi­li­brium (i.e., the saturation) is reached. Under these conditions, pulse ang­les smaller than 90° are more effective.

It was unexpected that shor­te­ning TR below 100 ms, even below 10 ms, still pro­vid­ed images with a signal-to- noise ra­tio which was sufficient and allowed dia­gnos­tic assessment.

Gradient-echo sequences of this kind, with such short TR, have been dubbed FLASH sequences  [⇒ Haase 1986]. They are commercially available under se­ve­ral dif­­fe­­rent trade names (see Table 10-06 and List of Abbreviations).


Tabla 10-06:
Some rapid imaging techniques correlated to the respective generic pulse sequence. Note: In this con­text, contrast-enhanced refers to the RF pulse sequence; is does not mean en­hancement with a con­­trast agent. A detailed review can be found in a paper by Chavhan and collaborators  [⇒ Chavhan 2008].


Signal intensity in rapid imaging sequences can be calculated with the fol­­lo­w­ing equa­tion, if TR is shorter than T1 but longer than T2* or when gradient/RF spoiling is applied to remove transverse coherences:


SI = sinα × [1-exp(-TR/T1)] × exp(TE/T2) / 1 - cosα × exp(-TR/T1)

where α is the flip angle, TR the repetition time, T1 the longitudinal and T2 the trans­ver­sal relaxation time.


10-06-01 FA — the Flip Angle


FLASH sequences add a fourth parameter to TR, TE, and TI: the pulse or flip an­gle α, also called FA.

Similar to SE sequences, GRE sequences can be weigh­ted depending on repetition and echo times, the exact pulse sequence and the pulse angle. However, there is one big difference: whereas SE and RSE sequences reflect true T2 in their T2-weigh­ted images, GRE sequences show only T2* contrast.

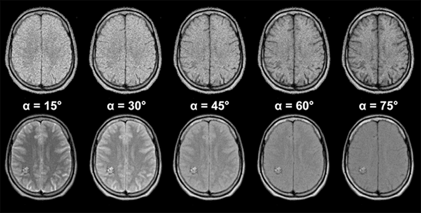
Figures 10-12 and 10-13 depict the typical signal intensity behavior of a GRE se­quen­ce, in this case a spoiled FLASH sequence. Commonly, the signal in­­ten­­si­­ties reach a maximum between 30° and 60°.

As we have seen with the signal in­ten­si­ty and contrast behavior of SE sequences, best contrast is not necessarily ob­tai­ned at the point of highest signal intensity. This is also the case in GRE se­que­nces, as the con­trast be­ha­vior of the brain images of Figure 10-13 shows. At the greatest signal in­ten­si­ty, there is poor or no contrast.

It turns out that images acquired using the Ernst angle tend to have rather poor con­trast. Higher flip angles have to be used to improve the contrast. The effect of this is a reduction of the signal left along the z-axis after the RF pulse. Thus, the sig­nal level depends on the rate at which the si­gnal recovered during TR; it is strong­ly T1-dependent. The image series in Figures 10-12 and 10-13 give an over­view of how contrast changes with in­­crea­s­ing flip angle.


Figura 10-12:
Gradient echo sequence (spoiled GRE). TR = 400 ms; TE = 20 ms. B₀ = 1.5 T. Because of the three va­ri­ables avail­able, there are nearly unlimited possibilities for changing ima­ge contrast. Generally, at low flip angles proton density dominates contrast, at high flip angles T1 becomes more important.
Images (through the brain of a normal volunteer): (a) α = 15°; (b) α = 30°; (c) α = 45°; (d) α = 60°; (e) α = 75°
Simulation software: MR Image Expert®

Figura 10-12-Video:
Animation: Eleven images; α between 8° and 88°. Note that these are simulated images: Both on the pic­ture se­quen­ce of Fi­gu­re 10-12 and on the animated sequence image noise has been removed.
Simulation software: MR Image Expert®


Figura 10-13:
Gradient echo pulse sequence (spoiled GRE) through the brain of a patient with a vascular mal­for­ma­tion in the right occipital hemisphere.
The upper image series was ta­ken with an echo time TE = 20 ms, the lower series with an echo time TE = 120 ms (B₀ = 1.5 T). The lesion is nearly invisible in the image series with short TE, but well de­li­ne­at­ed in the series with long TE.
 The choice of the appropriate pulse se­quen­ce parameters is pivotal in MR ima­ging. Many different sequences can be applied for different diagnostic questions. In many instances, their contrast behavior has been recorded empirically and the se­quen­ce and specific sequence pa­ra­me­ters have been included in special clinical ima­ging protocols.
Simulation software: MR Image Expert®


GRE sequences can provide sharp contrast between the CSF com­part­ment of the spine, the spinal cord, and the peripheral spinal column. The mye­lo­gram effect of the T2*-weighted images allows a fast screening for disk protrusions and is one ex­am­p­le of clinical applications of GRE.

SE and, in some in­stan­ces, RSE sequences commonly yield sharper spatial detail, and con­trast of GRE sequences ge­ne­ral­ly is in­fe­ri­or to that of SE se­quen­ces.

T1 con­trast can be enhanced by contrast agents.

The creation of T2*-weighted con­trast is hampered by field in­ho­mo­ge­ne­ities, which are not refocused by the gradient echo. The in­ho­mo­ge­nei­ties solicit short echo times and limit the use of long echo times necessary for T2*-weighting. Re­­duc­­tion of TR shorter than T2 leads to the generation of transverse co­he­ren­ces which can either be spoi­led or refocused, as described in Chapter 8.

Spoiled FLASH sequences (cf. Tab­le 10-06) remove the effect of the trans­­ver­se co­he­ren­ces, usually by the application of spoiler gradients, to give ge­nu­ine par­tial sa­tu­ra­tion con­trast. Refocusing GRE sequences incorporate the transverse coherences into the ob­ser­ved signal, and thus have a better signal-to-noise ratio. However, the basic refocused FLASH sequence generally has rather poor con­trast (which depends on T1/T2). The contrast-enhanced version, CE-FLASH, of­fers additional T2 con­trast, the amount of T2-weigh­ting being determined by TR and T2. The T2-weigh­ting is great­est at longer T2 values (e.g., 30-60 ms), but the signal-to-noise ratio is poorer than at short TR values.

GRE sequences are exquisitely sensitive to magnetic susceptibility (e.g., de­pic­ting he­mor­rha­ge and blood degradation products) and to flow phenomena (an­gio­graphy).

As we have seen in the SE se­quen­ces, one can hide and miss pathological chan­ges by choosing the wrong pulse se­quen­ce. This also holds for rapid se­quen­ces. If we se­lect a T1-weighted se­que­nce, we cannot distinguish a lesion which possesses a si­mi­lar T1 to its neighboring tissues. If we apply a T2*-weighted sequence, we cannot de­li­ne­ate a lesion with a T2 close to the T2 of its surroundings. The signal intensity of the vascular malformation in Figure 10-13 is a good example of this problem.

Table 10-07 summarizes the features of a standard GRE (FLASH) se­que­nce at high field (1.5 Tesla). A fine review of fast and ultrafast gradient echo sequences (in­clud­ing additional sequences to those mentioned here) was published by Nitz  [⇒ Nitz 2002].


Tabla 10-07:
Approximate contrast characteristics in a standard GRE sequence at high field (1.5 Tesla).


10-06-02 MP-RAGE and 3D-MP-RAGE


In snapshot gradient-echo scans, the signal evolves to different levels during the scan. Therefore, by manipulating the starting value one can alter the form of the evo­lu­tion and thus the image contrast. The most commonly used pre­pa­ra­tion pulse is a 180° inversion pulse.

3D MP-RAGE (three-dimensional magnetization-prepared rapid gradient echo) was in­tro­duced by Mugler and Brookeman in 1990  [⇒ Mugler 1990]. The MP-RAGE se­­quen­­ce com­­bines a 3D-inversion recovery pulse and N equally-spaced readout RF pulses of a specific flip angle with an echo spacing τ. The pulse cycle within the repetition time, TR, consists of the following components:


TR = TI + N×τ + TD

where τ is echo spacing time, N the total num­ber of readout RF pulses, TI the time interval between the in­ver­sion recovery pulse and the first RF readout pulse, and TD an adjustable delay time.


Image contrast is a function of N, TI, τ, the flip angle and the temporal position of the readout RF pulse, as well as the regular factors influencing con­trast such as re­­la­­xa­­tion times. Generally, the total number of RF pulses N is related to the spa­tial re­so­lu­tion along the slice direction.

In commercial machines, the k-space strategy, including k-space trajectory and sampl­ing order, is constrained to a few choi­ces ('black box' equipment). Often the theo­re­ti­cal­ly achievable best signal cannot be obtained on such machines.

In the MP-RAGE sequence, the effective inversion recovery time (TIeff) is a major determining factor of image contrast. It is defined as the time interval between the in­ver­sion re­co­ve­ry pulse and the RF read-out pulse for k-space center (Figure 10-14).


Figura 10-14:
3D-MP-RAGE. Simulated contrast between gray and white matter at 3.0 Tesla as function of TI for a total number of readout RF pulses of 176, 156, and 132, respectively. The interval time between readout RF pulses was set to 10 ms; the flip angle to 12°. To get decent T1-weighted contrast, the flip angle should be kept lower than 20° in this kind of pulse sequence. Contrast between tissues changes drastically with changes of TI as well as other parameters, e.g., T1 relaxation and field strength.


A good overview of the contrast behavior as well as of the basics of this pulse se­quen­ce was given by  [⇒ Wang 2014].

Other Rapid Imaging Sequences. Capítulo 8 describes a number of other fast imag­ing se­quen­ces, such as EPI.