TwinTree Insert

10-07 Intensidad estática de campo y contraste


mong the main con­trast parameters are the relaxation times T1 and T2. If they change, contrast also changes.

T1 is strongly field-dependent. There­fore, at given pulse sequence pa­­ra­­me­­ters, contrast changes with field strength. The way these changes occur is nearly im­pos­si­ble to predict because it is extremely diffi­cult to extrapolate the T1 values of a particu­lar tissue acquired at one field strength to another: T1 is de­ter­mi­ned by se­ve­ral factors which vary at different fields. Within to­day's routine imaging range (low to ultrahigh fields up to 3 Tesla), T2 is more or less constant; however, when mov­ing into ultrahigh fields (> 2 T), T2 starts showing some shortening, even more so T2*.

The best method to examine these fea­tures is relaxometry, the study of the be­ha­vior of longitudinal and transversal nuclear relaxation and of their dependence on internal and external parame­ters. Among these parameters are molecula­r and su­pra­mo­le­cu­lar struc­tures, tempera­ture, viscosity, pH, magnetic field strength, and pa­ra­mag­ne­tic and ferromagnetic agents. Field-cycling relaxometry deals with the re­la­xa­tion be­ha­vior and its changes with the strength of the mag­ne­tic field. It re­qui­res special, purpose-built machines, field cyc­ling relaxometers.


spaceholder redFigure 10-15 (top) depicts the T1 relaxation times (T1 dispersions) of white and gray matter of an adult brain versus field strength. They both increase with field, but with a different ratio to each other. When comparing the contrast behavior of dif­fe­r­ent tis­sues within the imaging range of MR fields, one finds that pure T1-con­trast in­creases from low fields and reaches a peak in medium fields between 0.4 and 0.9 Tesla; then it decreases again in high and ultra­high fields (Figure 10-15 bot­tom)  [⇒ Fischer 1989, ⇒ Rinck 1988].

Reduced contrast between gray and white matter has been described in clinical set­tings comparing 1.5 T and 3.0 T on T1-weighted images; no change was observed on T2-weighted images  [⇒ Schick 2005]. However, in most cases, clinical images (T1-, T2- or interme­diately weighted) possess suf­fi­ci­ent con­trast even at high and ul­tra­high fields if pa­rameters and pulse sequences are cho­sen properly and not only one of the major con­trast factors influences contrast  [⇒ Chen 1986, Fischer 1990, Hoult 1986].


Figura 10-15:
(Top): T1 relaxation time values of gray and white matter versus field strength. The measurements up to 1.5 Tesla were performed on a NMRD relaxometer with fresh human brain samples. The advantages of relaxo­metric measurements of ex vivo samples are the extreme high accuray of the measurements, the selection of tissue that looks homogeneous with the ability to reject mixed tissue samples, and the de­tail­ed his­to­logy available after the measurements.
 The values relating to fields higher than 1.5 T were acquired in vivo on spectrometers with the tra­di­ti­o­nal SE/IR sequences for the calculation of T1 time constants or on whole-body MR machines with mo­di­fied Look-Locker sequences to estimate T1; they were fitted. Details of these tech­niques are given in Chapter 4. Cross relaxation phenomena can lead to quadrupolar dips in the T1-dispersion plot. They are dependent on field strength and temperature (see Figure 04-22).
(Bottom): Approximation of pure-T1 contrast between gray and white matter: Contrast is relatively poor at very low fields. It climbs to a small peak in low/medium fields. Then it decreases slowly at high­er fields.


T1 dispersion curves of different tissues do not necessarily run parallel to each other, but can cross each other.

For heavily T1-weighted images of any pulse sequence, this feature becomes im­por­tant because diseases cannot be de­tec­ted at certain fields with T1-weigh­ted se­quen­ces. MS plaques, for instance, have a similar sig­nal intensity as their sur­­roun­d­ing tissue at medium and high fields when imaged with a heavily T1-weighted pulse se­quen­ces. Contrast exists only at ultra-low fields and diagnostic pulse se­­quen­­ce pa­­ra­­me­­ters have to be adjusted towards T2-weighted sequences.

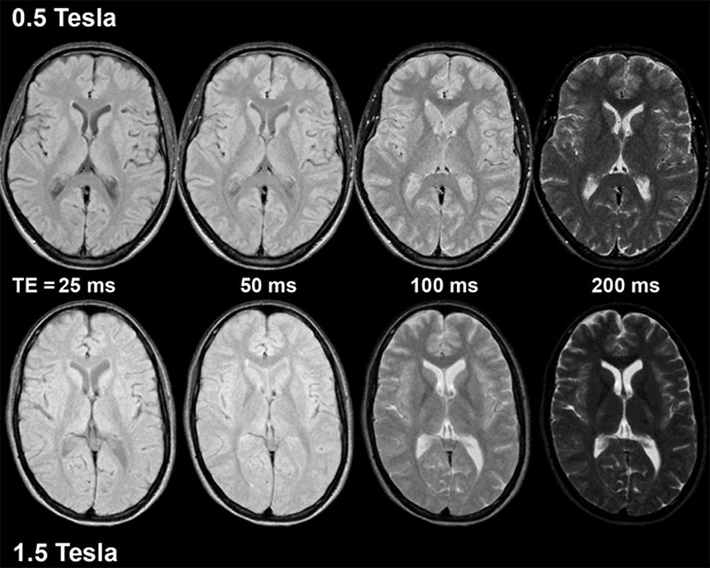
When comparing MR images acquired at different field strength, it is important to keep in mind that T1 grows with field strength. This increase is the reason why ima­ges taken with the same pulse pa­ra­me­ters, but at different fields, change their con­trast ap­pea­rance. Thus, they can­not be directly compared with each other, as the com­pa­ri­son of Figure 10-16 shows.


Figura 10-16:
Image series on top at 0.5 Tesla, on bottom at 1.5 Tesla; TR = 2000 ms. Contrast changes and differs bet­ween the two field strengths using the same imaging pa­rameters.

Figura 10-16-Video:
Animation: The image series on the left side was taken at 0.5 Tesla, the one to the right at 1.5 Tesla at a re­pe­ti­tion time TR = 2000 ms. Compare how contrast changes and differs between the two field strengths using the same imaging parameters.
Simulation software: MR Image Expert®


If, at higher field strength the pulse sequence parameters are adjusted accordingly, con­trast los­ses can be balanced (Figure 10-17).


Figura 10-17:
Transversal images of the brains of two healthy volunteers created at 0.5 Tesla (left) and at 1.5 Tesla (right); regular inversion recovery pulse sequence; the parameters were adjusted to the different T1 values at 0.5 and 1.5 Tesla. The contrast resolution at 0.5 Tesla is slightly better than at 1.5 Tesla; however, at both field strengths anatomic details are very well seen.