TwinTree Insert

11-02 Imagen en difusión


iffusion is but one mechanism of the transport phenomena on the molecular le­­vel: fluid transfer, heat transfer, and mass transfer. It is very closely re­la­ted to thermal conductivity and viscosity — and a vast and open scientific area  [Bird 2007].

The fundamentals of thermodynamics were explained by Fourier's law of heat con­duc­tion, those of viscosity by Newton's law of viscosity, and those of dif­fu­si­vi­ty by Fick's law of diffu­sion.


11-02-01 Fundamentos


Fluids in the human body move in dif­ferent ways, as bulk flow and perfusion in blood and lymph vessels, from the great vessels down to the capillary level, or as dif­fu­sion on the cel­lu­lar level (Table 11-01). Tissue cells are surrounded by ex­tra­­cel­lu­lar water through which small mole­cules shuttle between cells and the grand cir­cu­la­tion.

In the blood vessels the trans­port is active, mostly pumped by the heart, rather than passive, as in tissue, where it is controlled by diffusion in response to ever-changing chemical potentials.


Tabla 11-01:
Forms of fluid motion in the human body.


Diffusion is defined as the process re­sulting from random motion of molecules by which there is a net flow of matter from a re­gion of high concentration to a region of low concentration (Figure 11-08). How­ever, diffusion exists even in ther­mo­dy­­na­mic equilibrium.


Figura 11-08:
Distribution in water of blue ink from the top and potassium permanganate from the bottom of the glass. This kind of molecular movement is easily visi­ble. Diffusion inside the body is far more difficult to explain, to conceptualize — and to unveil.


Displacement distribution is the fraction of particles that will move over a cer­tain dis­tan­ce during a given time. The rate of diffusion is governed by the dif­fu­si­vi­ty, D; its dimension is cm²/s. This coefficient depends on several factors such as size of par­tic­les and temperature; the most important factor is viscosity. Changes of intra- or extracellular viscosity induce alterations of diffusion, and thus can change image con­trast in diffusion-weighted MR imaging (DWI).

Diffusion had been a topic of research in NMR since the early 1950s.

Erwin L. Hahn showed that by forming a spin echo one could recreate the see­ming­ly ir­re­ver­sib­le NMR signal  [⇒ Hahn 1950]. He used three subsequent 90° pulses and tried to calculate T2 values with this method. However, these values were not reliable: they were distorted by molecular diffusion. Herman Carr found a way around this prob­lem and to overcome diffusion with a train of 180° pulses after the first 90° pulse: The Carr-Purcell spin echo sequence  [⇒ Carr 1954], later mo­di­fied as the Carr-Purcell-Meiboom-Gill (CPMG) sequence by changing the pha­se of the 180° pulses re­la­tive to the initial 90° pulse  [⇒ Meiboom 1958].

In 1968, Edward O. Stejskal and John Tanner proposed to apply pulsed gra­di­ents for easier and more precise measurement of spin echoes to study restricted diffusion. They called this method Pulsed Field Gradient, Spin-Echo NMR  [⇒ Stejskal 1965].

The feasibility to visualize diffusion was discussed for a long time because it would allow differentiation between tissues according to their cellular structure. In 1986, Denis Le Bihan took this up and applied it to MR imaging by using appropriate gra­dient pulses to depict intravoxel incoherent motion (IVIM)  [⇒ Le Bihan 1986].

Diffusion is independent of the relaxation times and thus adds another factor to con­trast.


11-02-02 Técnicas


Tissue water diffuses randomly, but barriers such as cell membranes can in­flu­en­ce its diffusion and alter its random motion to a partly directed motion.

For instance, diffusion in white matter shows a clear directional dependence be­­cause, most likely, the myelin envelope covering the nerve fibers is vir­tu­al­ly im­­pe­­ne­­trab­­le for diffusing water molecules. This leads to an anisotropically re­stric­ted motion  [⇒ Moseley 1990].

In more or less free diffusion, the displacment distribution is a bell-shaped (Gauss­ian) function; the more complex manner of diffusion in tissue cells is non-Gauss­ian. Diffusion-weighted imaging (DWI) is the elementary imaging me­thod; the next step is a pictorial depiction of the calculated Apparent Dif­fu­sion Coefficient, ADC. More complex methods include Diffusion Tensor Imaging (DTI) and related tech­ni­ques such as Diffusion Tensor Tractography (DTT).


11-02-03 Imagen ponderada de difusión


Diffusion-Weighted Imaging (DWI) is commonly performed in the three or­tho­go­nal di­rect­ions x, y, and z created by the existing gradient coils of the MRI ma­chine. A Carr-Purcell spin echo sequence is adapted to diffusion imaging by the ad­di­tion of two gradient pulses at a duration δ and a time difference Δ, the dif­fu­sion time (Fi­gu­re 11-09).


Figura 11-09:
Complete 2DFT spin-echo imaging experiment with pulsed diffusion encoding. δ is the duration of the dif­fu­sion-en­cod­ing gradient, Δ is the diffusion time interval (be aware that δ and Δ have dif­fe­rent mean­ings in other applications of MR imaging).


A phase shift dependent on the strength of the gradient pulse is induced by the first of the diffusion pulses. The second diffusion pulse is applied after the 180° pulse of the CP sequence (this 180° pulse reverses the phase change that was in­du­ced by the ear­lier pulse; cf. the explanation of the spin-echo creation in Chap­ter 6). After the first dif­fu­sion pulse, all proton spins in the excited area are de­pha­sed; now, dif­fus­ing spins move away randomly and, partly, out of the area of interest. Thus, they are not rephased by the second diffusion pulse, re­sulting in a decrease (at­te­nu­a­tion) of the signal.

The b value is a term describing the dif­fusion sensitivity or the degree of the dif­fu­­sion weight­ing of the final image: b ~ q²×Δ (dimension: s/mm²). The b va­lue is esti­­mat­ed on the basis of q, a vec­tor in the di­rection of the diffusion. The length of this vector is proportional to the gradient strength.

Figure 11-10 gives an example of how diffusion influences contrast and its de­pen­d­en­ce upon gradient direction.


Figura 11-10:
Transverse, increasingly diffusion-weighted images.
(a) b = 0 s/mm² (no diffusion weighting); (b) b = 600 s/mm²; (c) b = 900 s/mm²; (d) b = 1200 s/mm².


Regions with a high diffusion gradient show low signal intensity, regions with low or ob­­struct­ed diffusion are brighter. This is the reason for contrast enhancement in dif­fu­­sion weighted imaging, allowing for instance the early depiction of brain in­farc­­tion.

Appreciation of the contrast enhance­ment always requires the comparison of at least two images with dif­fe­rent b-values.

>Pathologically increased diffusion pat­terns in the brain have been observed in in­­farc­tion, tumors, edema, multiple sclerosis, and cysts.

Diffusion changes in­di­ca­te is­chemia at a very early stage. This finding helped MR imag­ing become the modality of choice in patients with suspected brain infarction  [⇒ Buxton 1990, ⇒ Doran 1990].


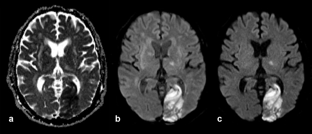
spaceholder redApparent Diffusion Coefficient Imag­ing. The imaging method based on the ap­­pa­rent diffusion coefficient (ADC) serves as graphical illustration of the ability of pro­­tons to diffuse through tissue where they are restricted in their movement by, e.g., cell membranes or increased cellularity — which might be the case in tu­mors. ADC imaging requires at least two data acquisi­tions; its contrast behavior is re­vers­ed: ar­eas of restricted diffusion are dark, those of free diffusion bright (Figure 11-11).


Figura 11-11:
Elderly patient with old and recent brain infarctions. New large infarction in left occipital lobe, also af­fect­ing other parts of the brain.
(a) ADC image, the area of the infarction is dark; (b) diffusion-weighted image, b = 500 s/mm²; (c) dif­fu­sion-weighted image, b = 1000 s/mm². The area of the infarction is bright.


11-02-04 Imagen con tensor de difusión


Diffusion Tensor Imaging is also called DTI or tractography. It is a mathe­ma­ti­cal pro­cess­ing tech­ni­que of diffusion-weighted measurements and potentially valuable for brain diagnostics in areas of anisotropic diffusion, al­lo­wing the depiction of the di­rec­tion and, possibly, interruption of tissue tracts. It is mainly applied to white mat­ter axonal fiber bundles and, at the time being, re­mains a research technique [⇒ Hag­mann 2006, ⇒ Nucifora 2007].

DTI relies on algorithms that assemble two- or three-dimensional visualizations of main white matter axonal fiber bundles. It allows to delineate fiber bundles from each other, as well as from gray matter and CSF (Figure 11-12).


Figura 11-12:
Tractography calculated from DW imaging data. The signal of the neural tract is stron­gest when the dif­fu­­sion gra­dient is di­rec­ted orthogonally to white matter bund­les, such as in the corpus callosum.
 The different diffusion directions (gradient direc­tions) x, y, and z are color-coded in these images: x = red, y = blue, and z = green.


For MR tractography fiber bundles must be aligned in one direction only and must not intersect. The tracts (fiber bundles) depicted on such an image are not the fi­bers per se, but local dif­fu­sion maxima.

There are a number of even more complex methods related to MR trac­to­gra­phy, such as diffusion spectrum imaging, q-ball imaging, and angular re­so­lu­tion imaging which are beyond this introduction to MR imaging.

It remains to be seen whether such ima­ges will have true research or clinical re­le­van­ce.


spaceholder redCritical remarks. Pitfalls and problems of DTI are manifold and stretch from im­per­fect al­go­rithms to motion artifacts.

Crossing, converging or diverging white matter tracts might not be adequately de­pict­ed as only diffusion maxima are shown. In particular the hypothetical, com­plex algorithm-based variants of DWI should applied with caution. In re­search, DTI is an ex­cel­lent com­ple­men­tary examination to functional brain ima­ging (BOLD imaging).

The technique should only be used by qualified and cri­ti­cal scientific specialists.

For details on the use of color in medical imaging confer Chapter 15.