TwinTree Insert

11-03 Imagen funcional


unctional imaging is a misleading term because it is mainly used for the de­­pic­­tion of changes of local blood supply in the brain activated by specific sti­mu­li. Commonly, dynamic or cine imaging of other organs or, e.g., joints are not de­scri­bed as functional MR imaging (fMRI). However, the term is not sharply de­­fi­ned, and sometimes diffusion, perfusion as well as brain activation studies are sub­sum­ed under fMRI. In contrast to EEG and MEG, functional MR imaging of the brain does not provide a direct measure of neural activity.


spaceholder redIn 1990, Belliveau and colleagues published the first observation of the sti­­mu­­la­­tion of the human visual cortex by magnetic resonance imaging  [⇒ Belliveau 1990].

They watched the first pass effect of a contrast agent after bolus injection to de­­mon­­stra­­te changes in cortical perfusion upon activation with a photic stimulus. The use of bolus tracking to study changes in perfusion was an exact analog to pre­vious ex­pe­ri­ments using the observation of radioactive tracers with PET or SPECT. It re­quir­ed the injection of a contrast agent in two consecutive scans, one with and one without stimulus.

The performance of such an experiment with MR has the advantage of vastly su­pe­rior spatial and tem­po­ral resolution and the lack of radioactive tracers (cf. ce­re­bral and regional cerebral blood-volume described in Chapter 16. However, the need for dual contrast agent injection poses a problem, especially for studies of brain ac­ti­va­tion in normal individuals.

This disadvantage was resolved by the demonstration of brain activation using the BOLD (blood-oxygen-level dependent) contrast mechanism first described by Ogawa [⇒ Ogawa 1990]. This technique has led to a fast proliferation of fMRI in hundreds of cen­ters over the last decades.


11-03-01 Contraste BOLD


The basis for BOLD-contrast was described by Pauling and Coryell in 1936  [⇒ Pauling 1936]. It relies on the fact that paramagnetic deoxyhe­moglobin — by comparison to dia­mag­ne­tic oxy­hemo­globin — has a strong magnetic mo­ment. Thus, by interaction of the bulk magnetization of deoxygenated blood with the external field, local field va­ri­a­tions in and around blood vessels are created. These susceptibility effects can be measured using appropriate MR imaging se­quen­ces.

The only source of energy of normal brain cells is the oxidation of glucose. Sin­ce the glucose storage capacity of brain cells is negligible, the brain very hea­vi­ly de­pends on a constant supply of glucose and oxygen via the capillary bed. This in­­creas­ed de­mand appears to lead to an in­creased amount of blood flowing to the ac­tivated area. This in turn decreases the local susceptibility effect, which can be vi­su­a­l­i­zed using appropriate susceptibility-sensi­tive imaging techniques (Figure 11-13).


Figura 11-13:
BOLD-contrast. The presence of deoxyhemoglobin in a capillary causes a susceptibility difference be­t­ween the blood vessel and the neighboring tissue. It induces a dephasing of the spins, thus a decrease in T2* and signal loss on T2-/T2*-weighted images.


Susceptibility differences are greater at higher fields, and thus higher fields are de­­sir­able for this kind of studies.

For the first human brain activation studies Kwong applied gradient-echo-planar imag­i­ng (GRE-EPI)  [⇒ Kwong 1992]. The EPI sequence uses multiple gradient refocusing to acquire all data necessary for image reconstruction after a single excitation pul­se. In spite of its not very well defined signal behavior, EPI has turned out to be a very efficient technique for brain activation studies due to its short ac­­qui­­si­­tion time.

Conventional gradient-echo imaging with long echo times (40-60 ms, de­pen­ding on field strength) has also turned out to be a useful technique for fMRI  [⇒ Frahm 1992]. Its advantage over EPI lies in the fact that it allows the acquisition of high-re­so­lu­tion images, whereas the resolution in EPI is determined roughly by the number of echoes which can be acquired within the T2 of brain parenchyma.

Conventional gradient-echo imaging does, however, suffer from a number of se­ve­re drawbacks. The long acquisition time per image restricts the application to a single slice and thus requires prior knowledge about the area of activation. Partial vo­lu­me effects can lead to difficulties in data interpretation.

Gradient-echo techniques also are very sensitive to inflow. Since vascular flow — espe­ci­al­ly in large veins — also changes upon stimulation, this can lead to the mea­su­re­ment of activation effects many centimeters from the area of activation  [⇒ Sege­barth 1994]. These vascular signal changes can be much larger than the actual par­en­chy­mal effects, which seldom exceed 2-3%.

The image quality of all susceptibility-sensitive techniques is strongly de­pen­dent on macroscopic susceptibility problems occurring especially at soft tissue-bone-air in­ter­faces, leading to magnetic field inhomogeneities over several cen­ti­me­ters.

These long-range effects will cause image distortions when oc­cur­ring in the di­rec­tion of the readout gradient which is normally of no practical con­se­quen­ce. Field in­ho­mo­ge­ne­i­ties across the selected slice, however, will lead to signal attenuation and thus severely affect the image quality.

The use of thin slices (or 3D data acquisition) is, therefore, to be preferred for fMRI.

The strength of the stimulation effect will not be dependent on the slice thickness due to the small range of the BOLD effect (Table 11-02).


Tabla 11-02:
Features and limitations of monitoring of brain activity with BOLD imaging.


spaceholder redApplications. The first experiments per­formed with fMRI used the well known pa­ra­­digm of photic stimulation with an alter­nating checkerboard pattern or a flicker dis­­play. This is known to lead to significant changes in perfusion and thus serves as a test tool for sequence development.

Meanwhile, quite a number of experi­ments have been performed, which led to new insights in neurocognitive research. Apart from activation in the primary vi­su­al cor­tex, activation of associated areas was demonstrated using a number of pa­ra­digms to test cognitive processing of motion, tex­ture, color, object re­cog­ni­tion, me­mo­ry, sound, and others (Figure 11-14).

Various para­digms using motor activation have been successfully examined. Numerous groups have in­ves­ti­ga­ted language processing us­ing a number of well esta­bli­shed pa­ra­­digms. In ad­di­tion to activation of the cere­bral cortex, the in­vol­ve­ment of the cerebel­lum in lear­ning tasks has been demon­strated. Sub­cor­ti­cal ac­ti­va­tion has been found, for example, in the nucleus genicu­latus (upon visual sti­mu­la­tion).


Figura 11-14:
Working memory test: typical activation pat­tern in the parietal cortex; cognitive / speech processing dor­­so­la­te­ral­ly.


spaceholder redNomenclature. In some articles on fMRI, NMR/MRI terms are used wrongly or con­­fu­sing­ly, for instance T1* (a term which is not appro­priate; T1 is not affected by suscep­tibility) for an apparent T1 (Tapp or T1influx) or T2* for apparent T2 (T2app).


spaceholder redCritical remarks. Unfortunately, BOLD imaging at common (high and ul­tra­high) fields strengths for investigative fMRI, such as 1.5 or 3.0 T, has a very low sensi­tivity and signal-to-noise ratio. The signal changes related to cerebral ac­ti­va­tion are close to the noise level and therefore nu­merous signal processing tech­ni­ques are used to overcome it.

Besides, T2* to esti­mate blood oxygen sa­tu­ra­tion is only one singled-out factor; oxy­gen supply and satu­ration are de­pen­dent on several additional and independent pa­ra­me­ters, among them lung and heart function, vessel size, and hematocrit. At the present stage this means that some groups look again — after the first de­scrip­tion in 1990 by Belliveau et coll.  [⇒ Belliveau 1990] — into exogenous agents, e.g., man­ga­nese, to highlight he­mo­dy­na­mic changes in the brain [⇒ Chen 2001, ⇒ Christen 2012, ⇒ Kim 2012, ⇒ Leite 2002] (cf. Chapter 16).

fMRI tickles the imagination of researchers, as well as the laity of all medical and pa­ra­me­di­cal disciplines including neuro­economics and neuro­marketing, and the po­pu­la­tion at large because it shows the brain at work and reacting to the en­­vi­­ron­­ment in beautiful color images. Such applications are often doubtful. fMRI has been used and abused.

Obstacles such as high expenses, low resolution, complexity beyond the education of many users, pitfalls and snags of the technique and of the interpretation of the out­come are copious.

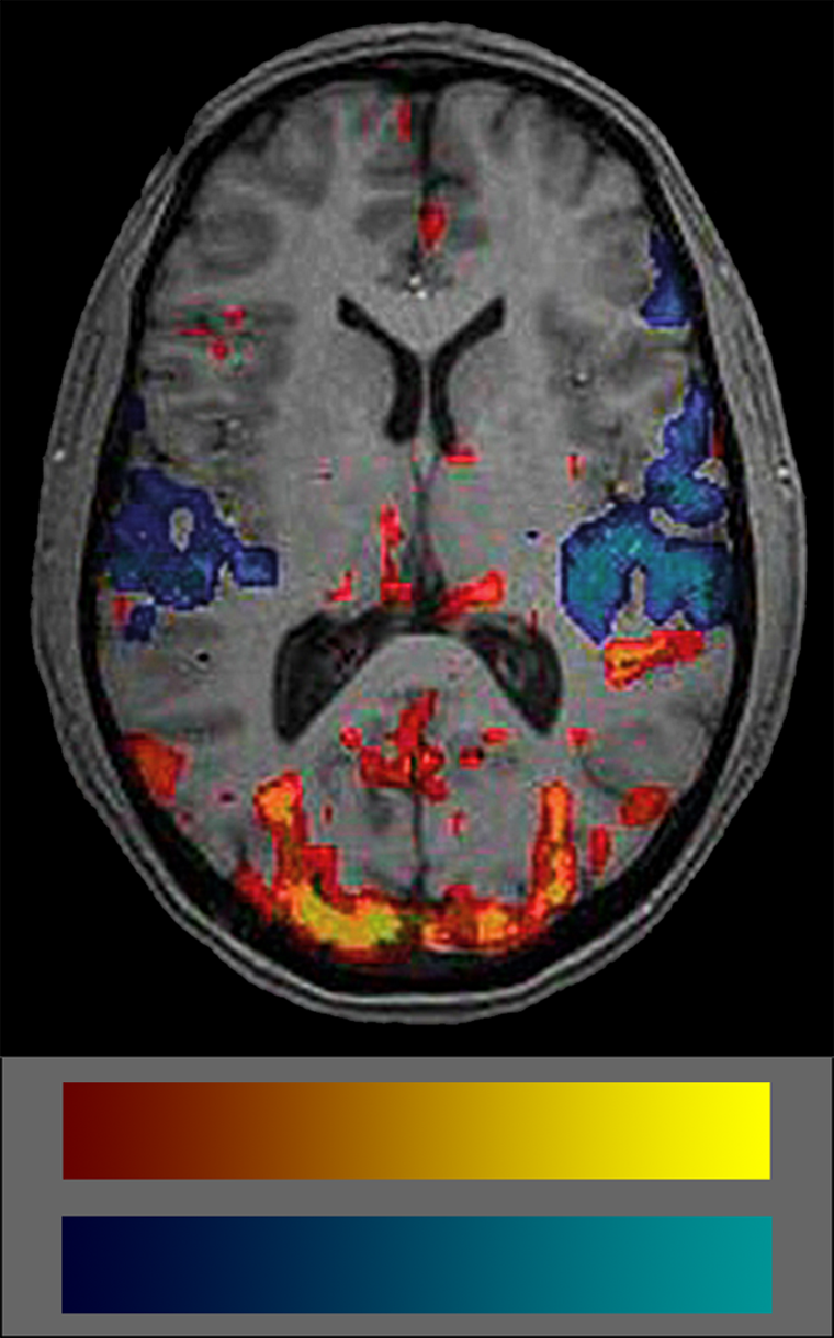
Commonly, BOLD data are shown coded in colors. Many users don’t really un­der­stand what the colors mean because they are not intuitive (Figure 11-15). The se­mio­tics of the commonly used BOLD color code is red-yellow colors for increased blood volume — which attract attention — and blue-cyan for decreased blood vo­lu­me which are easily put aside and overlooked. Thus, attention is commonly paid to blood flow increases but not to decreases which biases interpretation. Another pro­blem is the lack of any standard in color schemes of BOLD studies (for details on the use of color in medical imaging (cf. Chapter 15).


Figura 11-15:
fMRI image and color coding scale: red to yellow to indicate increased blood volume and dark blue to cyan to indicate decreases. The frequent absence of any color scale explication is a major set-back of most publications on BOLD imaging.


It is important to always keep in mind that the colored blots in BOLD images show sta­tis­ti­cal sig­ni­fi­can­ces of blood supply, not of brain activity.

More than three decades after the pioneering work of Belliveau, Kwong and Oga­wa fMRI remains an imperfect and unfinished method — that might be replaced by other, more accurate techniques in the future. It is helpful for surgical planning and has given some new insights into the physiology of cognition; however, it will not fur­ther scientific research in the understanding of the dynamics of cognition [⇒ Cohen 2012].