TwinTree Insert

15-04 Subtraction or Superposition Images


ultispectral images of the same body region can simply be overlaid to give an impression of the exact location of certain contrast-enhanced structures (data fusion). Usu­al­ly, a high spatial resolution T1-weighted MR image is used as a background ima­ge to show the anatomical structures and the contrast-en­hanc­ed image is pro­ject­ed onto this picture.

In MR imaging this has been first shown with perfluorinated ventilation images in 1982 (Figure 15-07) [⇒ Rinck 1983].

Today the method is used as a multiparametric or multimodal fusion of data as well as longitudinal (time domain) integration of single modality data, com­mon­ly ap­plied in fMRI studies or in in­ter­mo­da­li­ty comparison between, e.g., CT or MR and PET ima­ges. Here, the information obtained from PET is overlaid or imprinted onto the more detailed anatomic images acquired with MR imaging or CT.


spaceholder redPractical Applications. The method is useful since it allows a better vi­­su­­­a­­li­­za­­tion to locate certain processes. The implementation is relatively simple.

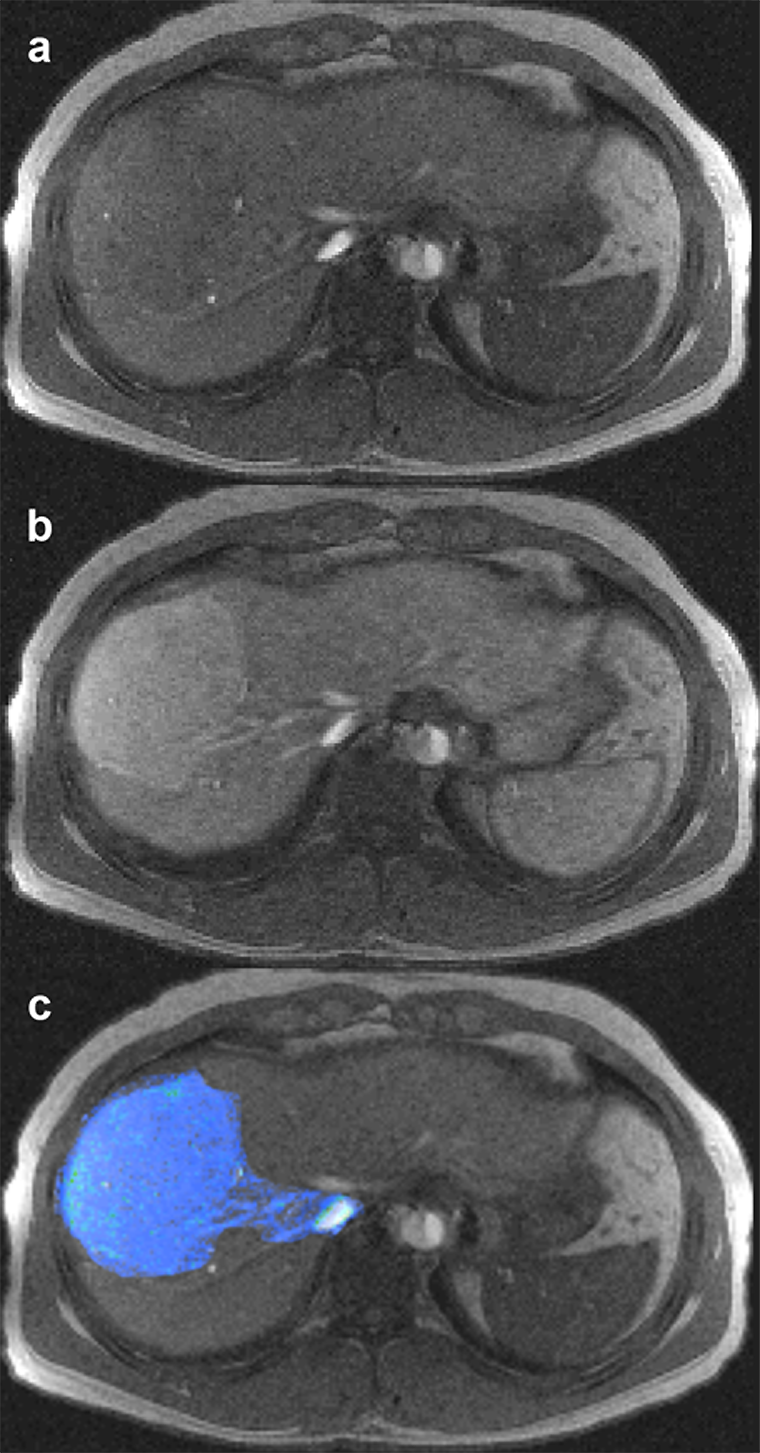
It is mainly applied as an auxiliary tool to facilitate vi­su­a­li­za­tion of en­han­ce­ment vi­si­ble on post­con­trast images (Figure 15-08), but also in MR angiography to highlight veins after subtraction of the CE-MRA images of the arterial phase, and in MRSI (Figure 05-08).


Figura 15-07:
Diagram explaining the theory of the first fusion im­ages in MRI (1982). Subtraction of hydrogen and flu­o­­rine images of the lungs (cf. Fi­gu­re 20-40).


Figura 15-08:
Multichannel images: (a) plain image of a liver, (b) contrast-enhanced liver, with depiction of focal no­du­lar hyper­pla­sia, part of a dy­na­mic series, and (c) overlay (superposition) of enhanced lesion on plain liver im­age.