TwinTree Insert

15-05 Quantification of MR Parameters


ith numerous tissue parameters, MR imaging has substantial — theoretical — po­ten­tial for tissue discrimination in different organs. The most im­por­tant in­trin­sic contrast factors are proton density, T1 and T2 re­la­xa­tion, and bulk flow.

The use of relaxation times for medical applications was first proposed in 1955 [⇒ Ode­blad 1955].

Voxel-by-voxel in vivo relaxation-time measurements, partly turned into T1- and T2-maps, have been tried out over the years by a large number of researchers [⇒ Skalej 1985].

However, parametric T1 and T2 images did not enter into clinical routine. They were restricted to a single parameter only and revealed less information than ima­ges representing several parameters combined with different parameter-weight­ing.

This was one of the first major lessons to be learnt in MR image-processing: if one has more than one known factor influencing the contrast of an image, and if the change in contrast is perceivable by the human eye, it is not worthwhile to ex­tract such a factor to create a parametric image. This holds in particular if this factor can­not be quantified exactly. In the case of relaxation times, only an esti­ma­tion is pos­sib­le in vivo.

In 1985, it was finally realized that even carefully per­for­med in vivo T1 or T2 mea­su­re­ments cannot be used as a diagnostic method in can­cer detection, cha­rac­te­ri­za­tion, or typing [⇒ Rinck 1985].

Quantification does not allow reliable tissue identification and classification.


15-05-01 Synthetic or Simulated Images


For specific applications, pure relaxation time maps can be used to create synthetic MR images and to simulate image contrast be­­ha­vi­or. Such techniques were proposed very early in MR imaging in the first half of the 1980s to allow fast retrospective opti­mization of image contrast.

A num­ber of publications dealt with this [⇒ Bielke 1984, ⇒ Bobman 1985, ⇒ Rie­de­rer 1984, ⇒ Torheim 1994] and dedicated software programs, e.g., MR Image Expert [⇒ Torheim 1996] were developed for educa­tional and research purposes. Several ex­am­p­les of simulated or synthetic MR images are shown in Chapter 10.

The procedure leading to synthetic im­ages requires several steps. High-qua­li­ty, low-noise simulations are based on true T1, T2, and proton density maps of the same slice or volume. Then pixel-by-pixel signal intensities can be cal­cu­la­ted with stan­dard equations: the operator-selected variables are, for instance, TR, TE, TI, and FA.

Such simulated images have substan­tially less noise than images acquired di­rectly on an MR machine. Applying com­puter simulation for sequence optimization is time and cost efficient compared to in vivo experiments. They can be used when looking for specific anatomical or pathologica­l features or to evaluate best pulse-se­quence pa­ra­me­ters for con­trast agent en­hancement or comparison of contrast at dif­ferent field strength.


spaceholder redMR Image Expert®, the simulator used for this textbook (Figures 15-09 a and b), could also be employed, e.g., for clinical imaging if integrated into a suitable MR equipment. The drawbacks of such image-processing programs are their dependence on spe­ci­fic 'clean' data acquisition sequences such as spin-echo or in­ver­sion-re­co­very pul­se se­­quen­ces with known contributing compo­nents where signal intensities can be ex­­act­ly and reproducibly calculated.


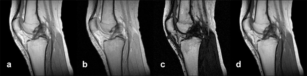
Figura 15-09a:
Simulation of an MR exa­mi­na­tion of a normal knee at 1.5 T. Series of synthetic inversion-recovery ima­ges; parameters TR|TE|TI: (a) 1000|10|20; (b) 1000|10|100; (c) 1000|10|260; (d) 1000|10|500.
Simulation software: MR Image Expert®


Figura 15-09b:
This example shows the contrast behavior of a meningioma using different repetition times TR and echo times TE (1.5 Tesla; plain study; no contrast agent application).
Simulation software: MR Image Expert®


In addition to the factors mentioned above (exclusion of many parameters in­flu­e­nc­ing image contents and contrast, e.g., multiexponential decays, diffusion, and flow), multispectral processing and feature extraction for the creation of syn­the­tic im­a­ges are cumbersome and prone to substan­tial mistakes.

More so, in the brain, for instance, abso­lute signal am­pli­tu­des are proportional to the water content, not to 'proton density' because mye­lin lipids do not contribute to the signal [⇒ Fischer 1990], another of the many features that cannot be simulated.

The sometimes proposed MR fingerprinting ba­sed on multi-parametric data col­lec­tion is unreliable and impracticable in dia­gnos­tic routine. Reasons and details have been discussed in Chapter 4: Practical Measurements of T1 and T2 and Mea­su­re­ments in Me­di­cal Diagnosis.

Synthetic images cannot be used to quantify data (e.g., relaxation constants or pro­ton den­si­ty in tissues).


spaceholder redT1 maps are used in research as the basis for estimating tissue concentrations of con­trast agents in dynamic imaging. Here, two mea­surements are necessary, one before injec­tion of the con­trast agent, a second one af­ter injection together with drawing a blood sample to determine the blood concentra­tion of the contrast agent. It is rarely used in clinical routine.

spaceholder red

When you reinvent the wheel …

inkpot … always consider the flat tire problem

spaceholder red