TwinTree Insert

PR-Spaceholder

Capítulo Diecisiete
Artefactos Comunes


17-01 Introduccíon


hortly after the introduction of MR as a new imaging modality, it was hail­ed as a technique which did not suffer from the common beam har­den­ing ar­ti­facts which can destroy images in x-ray computed to­mo­gra­phy.

However, it was soon realized that an unfortunate side effect of the complex nature of MR imaging was a whole new set of artifacts. Artifacts (sometimes also called arte­facts in British English) in MR images can take the form of variations in signal in­ten­si­ties or mis­po­si­ti­on­ing of signals (Figure 17-01).


Figura 17-01:
If the sagittal MR image of a head that you get on your screen reminds you of Donald Duck and his ne­phews, there is something wrong — either with your patient or with your MR equipment.
It might be Donald Duck artifacts caused by dentures.


Artifacts can be categorized into four main groups which we will discuss in this chapter:

spaceholder darkbluemagnetic field perturbations;
spaceholder darkblueRF and gradient related artifacts;
spaceholder darkbluemotion and flow artifacts;
spaceholder darkbluesignal processing and mapping artifacts.


Usually artifacts are easily recognized when their causes are known. They can spoil images and make them useless for diagnostic purposes, but they also can mimic pa­tho­lo­gy to such an extent that examinations have to be redone, other diagnostic mo­da­li­ties have to be used to exclude pathology (Figures 17-02 and 17-03), or they can even lead to surgical intervention because pathology was falsely described.


Figura 17-02:
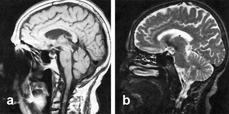
Sagittal midline images through a head. (a) Intermediately weighted image, and (b) T2-weighted ima­ge. On the left ima­ge, a low signal in­ten­si­ty area is seen in the pons, suggesting a le­sion. This lesion is not visible on the T2-weighted ima­ge. It is caused by image distortion created by fer­ro­mag­ne­tic im­plants.


Figura 17-03:
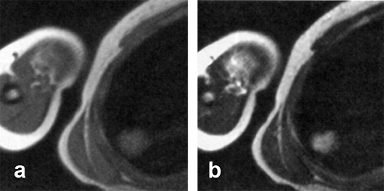
(a) Transverse intermediately, and (b) T2-weighted images depict an ill-defined high signal in­­ten­­si­­ty le­sion in the right lung. Follow-up studies on another day and the use of CT did not show such a lesion. The cause of the artifact remained unclear.


spaceholder redTable 17-01 summarizes some of the most com­mon artifacts and their re­me­dies. Most of them are covered on the following pages.

However, arti­facts caused by defective components, mal­functions of the equip­ment, or artifacts con­nected to the equipment of specific manu­facturers — in par­ti­cu­lar those created by 'black box' software — might be dif­fe­rent from the com­mon ar­ti­facts covered in this chapter.


Tabla 17-01:
Image artifacts and remedies. Modified from papers by ⇒ Henkelman 1987 and ⇒ Johnson 1989.