TwinTree Insert

17-02 Field Perturbations


he main magnetic field (or more precisely, the lines of magnetic flux) can be dis­tort­ed by a number of factors outside the MR imaging suite, for instance by large stationary or moving ferrometallic objects such as elevators or pas­sing ve­hic­les.

The field has to be protected by shimming or shielding, which is generally per­form­ed properly by the manufacturer of the MR equipment during in­stal­la­tion. There­fore, field inhomogeneities from the outside are at present seldom re­spon­sib­le for image artifacts.


17-02-01 Local Inhomogeneity Artifacts


Any local internal distortion of the magnetic field cannot be corrected by shim­ming.

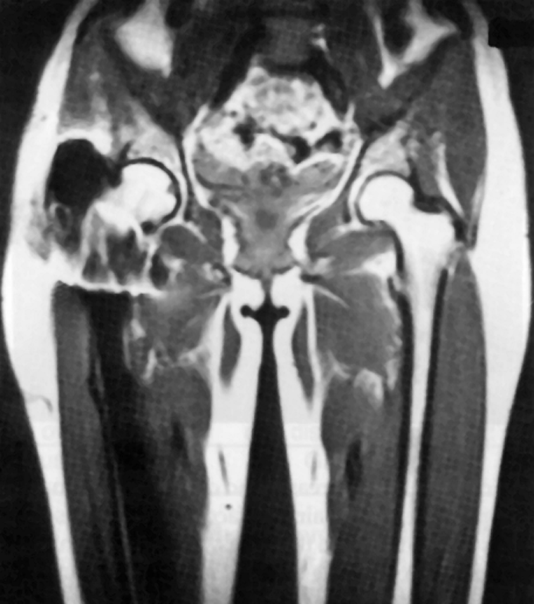
The most common causes of such local distortions are the presence of fer­­ro­­mag­­ne­­tic for­eign bodies and susceptibility effects. Ferromagnetic objects usu­al­ly cause an area of total signal loss around the object and distort the signal in­ten­si­ty at the edge of this region (Figure 17-04 and Figure 13-19).


Figura 17-04:
Artifacts resulting from the presence of ferromag­netic material. Signal loss and signal dis­tor­tion as­so­­ci­a­ted with a fer­ro­mag­ne­tic prosthesis in the right leg.


For this reason, all external metallic objects such as jewelry (including pierc­ings), wat­ches (and guns — no joke) must be removed from the patient and accompaning per­sons. A change of clothing is advised to avoid problems with metallic zippers and other like devices.

Any implanted ferromagnetic material obviously has to be tolerated, but gra­dient echo scans should be avoided in such cases since they are affected to a grea­ter ex­tent than spin echoes.

Owing to their conductive properties, some non­fer­rous metal implants can disturb the magnetic field by low-level eddy cur­rents.

Artifacts can also be caused by the ferromagnetic pigments used in eye and other makeup (e.g., mascara) and tattoos. This can result in a significantly re­du­ced image qua­li­ty, particularly in the case of studies of the orbit.


17-02-02 Susceptibility Artifacts


The susceptibility of a tissue tells us how easily it can be magnetized. The sus­cep­ti­bi­li­ty ­values for most tissues fall within a fairly narrow range.

However, the presence of ferromagnetic material (e.g., iron deposition in tissues, lo­­ca­liz­ed high con­cen­tra­tion of hemoglobin after a hemorrhage, or high con­cen­tra­tion of ferromagnetic contrast agents) or tissue-air interfaces lead to lo­cal va­ri­a­tions in the sus­­cep­ti­bi­li­ty which result in a reduction of the quality of the local field (Figure 17-05).

At high and ultrahigh fields susceptibil­ity artifacts can become a major problem. Air-tissue interfaces and iron deposits in tissues can distort or erase the signal, in the brain for instance in the frontal lobe, the posterior fossa, and auditory cortex.


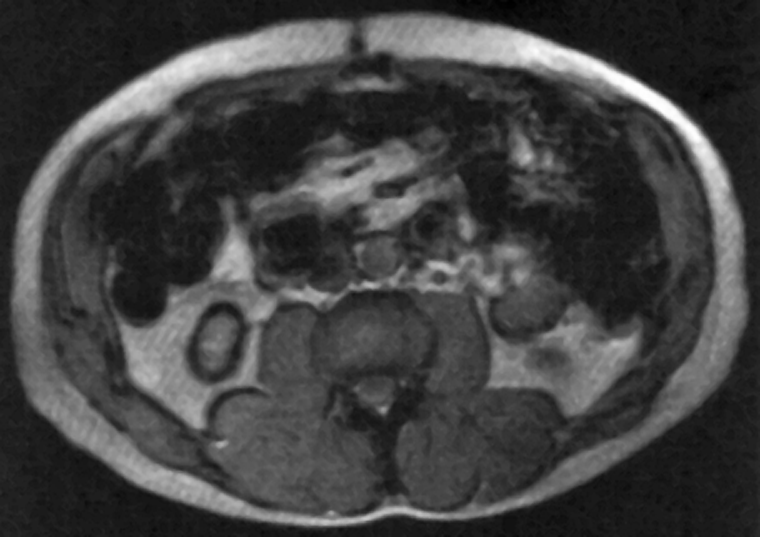
Figura 17-05:
Susceptibility artifacts created by ingested ferromag­netic particles used as an oral con­trast agent. Because the concentration of the particles is too high, the local mag­ne­tic field is disturbed and image arti­facts are created.


spaceholder redThe form of the susceptibility artifact de­pends on the local conditions, and both in­­crea­ses and decreases in signal intensity are possible. Tissue-air in­ter­fa­ces which give rise to such artifacts can be found in the lungs, around the sinuses and in the na­­so­pha­rynx. The lack of signal from the lungs is caused by the air in the lungs and the susceptibility artifacts produced by the interfaces between air and lung tissue.

The distortions increase with field strengths and can become a nuisance at high and ultrahigh fields [⇒ Farahani 1990].

The effect of obtrusive susceptibility ar­tifacts is reduced by using spin-echo se­quen­ces rather than gradient-echo sequences. The presence of local field va­­ri­a­­tions can be determined by using either a phase image or a special pulse se­quen­ce which ex­ploits the interaction between two echoes to produce a local field map.


spaceholder redIn contrast-enhanced MR angiography contrast agents can induce sus­­cep­­ti­­bi­­li­­ty arti­facts. If these artifacts are severe, they can be reduced by acquiring the full k-space; partial (asymmetric) echo sampling (and/or halfscan) should be re­du­ced or avoided.