TwinTree Insert

17-05 Signal Processing and Signal Mapping Artifacts


17-05-01 Chemical Shift Artifacts


he chemical-shift artifact is caused by the difference in resonance frequency ex­­pe­­ri­­en­c­ed by protons in different chemical environments. Protons con­tain­ed in fat and water environments are separated by 3.5 ppm. Both the fre­quen­cy and slice encoding processes use frequency information. The signals from fat and wa­ter protons at the same position will result in different frequencies and there­­fore a relative shift of one of the signal components (Figure 11-02 and Figure 17-11).


Figura 17-11:
High field strength (1.5 T) MR images with chemical shift artifacts in the read­out di­rec­tion, which is ori­­ent­ed vertically in the ima­ge. The chemical-shift arti­fact is vi­si­ble as a black rim between fat and muscle.


Since this is a frequency-dependent artifact, the effect will be more pro­noun­c­ed at high and ultrahigh fields (1.5 T, 3.0 T, and more), with displacements of several pi­xels being visible in the readout direction. The artifact can be reduced by using stron­ger gra­dients, but this has the unfortunate side effect of decreasing the sig­nal-to-noise ratio.

The problem can be overcome by suppressing one or other of the components prior to collecting each line of data. This can be done either by using pre­sa­tu­ra­tion tech­ni­ques (which require good static field homogeneity) [⇒ Femlee 1987] or by using one of a number of add-subtract schemes (which increase the imaging time) [⇒ Dixon 1984, ⇒ Szumowski 1988].

In gradient-echo studies, changes in the echo time lead to changes in the relative pha­ses of the fat and water components of the signal, as we have seen in Chapter 11. This can be used to change the contrast in the image or as the basis of a fat-sup­pres­sion scheme [⇒ Williams 1989].


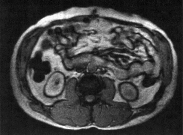
17-05-02 Black Boundary Artifacts


Sometimes well-defined black contours following anatomical structures are seen. These artifacts are another class of chemical-shift artifacts. Pulse se­quen­ces prone to such artifacts are inversion-recovery and gradient-echo sequences. The water and fat signals can be in-phase or out-of-phase (cf. fat-suppression technique in Chapter 11).

If this happens accidentally in volume elements with partial volume effects bet­ween water-rich and lipid-rich organs, the signal disappears and artifactual contours are seen (Figure 17-12). To avoid these contours, in-phase echo times must be used (cf. Figure 11-03).

Al­ter­na­ti­ve­ly, the exa­mi­na­tion should be performed with SE sequences whose 180° pul­ses refocus the phase shifts.


Figura 17-12:
Black boundary artifacts in the abdomen. Gradient-echo sequence with an echo time of 16 ms.


17-05-03 Truncation Artifacts


The truncation artifact is also known as ringing or Gibbs artifact.

It appears as parallel striations, close to interfaces bet­ween tis­sues with different sig­nal in­ten­si­ties, such as fat-muscle or CSF-spinal cord. Because these lines mimic re­gu­lar structures, they can present interpretation problems if they are not re­cog­niz­ed as artifacts.

Truncation artifacts are particularly severe when small image matrices are used and can be reduced by simply using a larger image matrix.

Oversampling, while having no effect on the intensity of the truncation artifacts, does reduce their spacing which often results in the artifact becoming blurred and im­­per­­cep­­ti­­ble.

Truncation artifacts are most commonly seen in the phase-encoding direction since increasing the mat­rix in this direction results in an undesirable increase in scan time. A combination of suitable scan orientation and increasing the data ma­t­rix in the frequency-encoding direction usually reduces the artifact to a to­ler­able le­vel (Figure 17-13).

These artifacts can also be reduced by applying a low pass filter; but as with all fil­ter­ing the whole image, and not just the artifact, will be affected.


Figura 17-13:
Truncation artifacts.
Top: (a) 60% acquisition with ar­tifacts. (b): 80% acquisition, no artifacts visible.
Bottom: Truncation artifact mimicking sy­ringo-myelia. (c) T1-weighted, (d) T2-weighted im­age.


17-05-04 Aliasing Artifacts


Aliasing artifacts are also known as backfolding, foldover, phase wrapping, or wrap around artifacts.

Aliasing causes data which lie outside the specified field-of-view to be wrapped back into the image. It can occur in both the phase and fre­quen­cy encoding di­rec­tions.

Aliasing can also be a k-space artifact (Figure 17-17).


spaceholder redIn the frequency-encoding direction the artifact results from the presence of sig­nals with too high a frequency being mispositioned.

According to the Nyquist theorem, frequencies must be sampled at least twice per cycle in order to re­pro­du­ce them accurately. Depending on the detection scheme used, the data can be folded back into the image on the same or on the opposite side.

These high-frequency signals can be removed with a filter, but the response of such a filter will not exactly match the desired frequency range (the image band­width), leading to some artifact still be­ing present or to a loss of signal at the edges of the image.

This problem can be overcome by doubling the amount of data collected (over­sampl­ing), either by doub­ling the sampling rate to the critical sampling frequency (Nyquist fre­quen­cy) or by doubling the acquisition time.

The latter scheme has the advantage of also improving the signal-to-noise ratio by √2. We can then apply a filter which will remove all frequencies outside of the new image bandwidth but which will have no effect on the frequencies that cor­res­pond to the desired field of view (Figure 17-14).

After the Fourier trans­for­ma­tion the outer quadrants of the oversampled data are dis­card­ed, leaving us with the original field-of-view and no artifacts (Figure 17-14, bottom).


Figura 17-14:
Graph: Relation between the filter (top), the image frequencies for normal sampling (middle), and over­­sampl­ing (bottom).
Bottom: Image of a kiwi fruit: (left) result of over­sampling, and (right) normal sampling. In both cases, the fre­quen­cy gradient was orientated verti­cally. In the left-hand image aliasing of signal ori­gi­­nat­ing from outside the specified field of view results in the artifact visible at the bottom.
ν = frequency.


In the phase-encoding direction aliasing results in signal from outside the field of view being folded back into the image on the opposite side, be­cause the two po­si­tions will produce identical phases.

Oversampling can also be applied to the phase-encoding direction, but will double the imaging time (since twice as many phase-encoding steps are re­quir­ed); thus it is little used.

The usual practical solution is to orientate the pha­se en­cod­ing direction in the ima­ge in such a way that no anatomical struc­tu­res extend beyond the image boun­da­ries in this direction (Figure 17-15). If this is not possible, a surface coil can be used to limit the volume from which the signal is obtained. In 3D imaging, the back­fold­ing can oc­cur in both of the phase-encoded directions.


Figura 17-15:
Backfolding artifact resulting from the sample being larger than the field of view in the phase en­­cod­­ing di­rec­tion, which is orientated left-right in this example.


17-05-05 Quadrature Artifacts


The MR signal is detected using a receiver which has two chan­nels, with the re­fe­ren­ce signal to the second channel being phase-shifted by ex­ac­tly 90° with re­spect to the re­fe­rence used for the first channel.

Any mal­ad­just­ment of this phase-shift results in a ghost image, which is ro­tat­ed about both the x- and y-axes with respect to the main image (Figure 17-16).

It can be eliminated by adjusting the phase and gain of the receiver, which is most easily done by trying to minimize the quadrature peak in a transformed, off-re­so­nan­ce signal.


Figura 17-16:
Quadrature artifact resulting from an in­cor­rect­ly adjusted receiver.


17-05-06 k-Space Artifacts


The data in each individual pixel of the final MR image after Fourier transformation con­tains information from all points in k-space.

Thus any, even minor, disintegration of k-space such as bad data points or spikes can easily corrupt the entire final MR image and create image artifacts [⇒ Mezrich 1995].

Two of them are shown in Figure 17-17 and Figure 17-18.


Figura 17-17:
k-Space artifacts: Aliasing or wrap-around artifact.


Figura 17-18:
k-Space artifacts: Radiofrequency feedthrough arti­fact.