TwinTree Insert

17-04 Motion and Flow Artifacts


17-04-01 Respiratory and Cardiac Motion


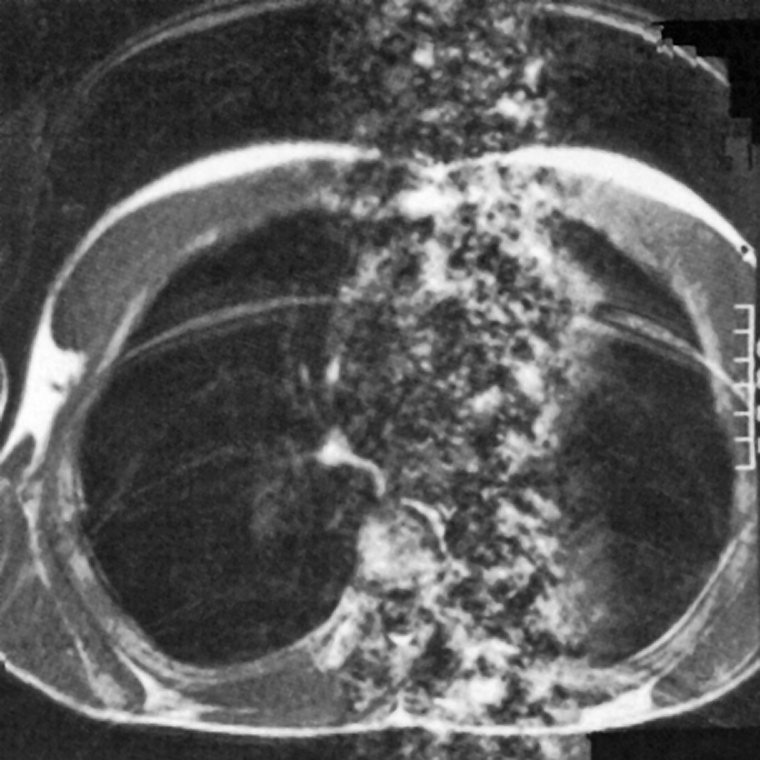
otion artifacts are the most frequently observed artifacts in MR imaging and have severely hampered the use of MR imaging for abdominal studies. They re­qui­re ECG triggering being used for thoracic studies (Figure 17-07).


Figura 17-07:
Ghost images resulting from respiratory and cardiac motion with both sets of ar­ti­facts being oriented along the phase en­cod­ing gradient. The respiratory motion produces a number of distinct ghost ima­ges of the chest wall, while the cardiac mo­tion results in the column of noise as­so­cia­ted with the heart.


Motion can lead to blurring and ghost artifacts. Blurring of anatomical stru­ctu­res and interfaces is caused by averaging of moving structures (pseudo doub­le ex­po­sure). This may obscure small lesions. Ghost images are partial co­pies of the parent ima­ge appearing at a different location; they are mostly caus­ed by pul­sa­ti­le flow.

Motion can be divided into two basic categories:

spaceholder darkbluemotion occurring between acquisition of different lines in the study;

spaceholder darkbluemotion occurring between excitation and data acquisition.


The first category can be totally eliminated by physiological gating so that the data ac­qui­si­tion and motion are synchronous. This is widely used in cardiac studies and allows the generation of excellent, reproducible images of the heart cycle.

Respiratory gating has also been tried, but the much lower frequency of the re­spi­ra­to­ry cycle results in very long scan times. A number of other techniques monitor the respiratory cycle and select the phase-encoding steps in an order that mi­ni­mi­zes the resulting artifact. The ROPE (Respiratory Ordered Phase Encoding) tech­ni­que re­moves the periodicity of breathing upon k-space [⇒ Bailes 1985].

A technique developed later follows the normal sequence with a second ac­­qui­­si­­tion which has no phase-encoding. This second echo, also called navigator echo, pro­vi­des an indication of the amount of motion and can be used as the basis for a post­pro­ces­sing pro­ce­dure [⇒ Ehman 1989].


spaceholder redAll these techniques suffer from the fundam­ental shortcoming that they assume bulk motion, i.e., everything is moving in the same direction at the same speed, which is not true in the abdomen. Still, such techniques can improve image quality.

An alternative approach is to make the scan time short with respect to the re­spi­ra­to­­ry cycle and hence limit the amount of motion. The ultimate example of this is echo-planar imaging where the image is formed from a single acquisition [⇒ Rzedzian 1986].

By using fast imaging techniques with acquisition times of a few seconds or less in con­junc­tion with breath holding excellent images with few motion ar­ti­facts can be ob­tained.


spaceholder redArtifacts resulting from the second type of motion can be reduced by using motion-com­pen­sa­ted gradients. The gradients in standard imaging sequences pro­duce addi­tional phase shifts for moving samples. Since the amount of motion will not be the same for each line of the scan (unless gat­ing is used), a smearing of the sig­nal in the phase-encoding direction will result.

By using a modified form for the read and slice gradients, one can remove this ad­­di­ti­o­nal phase shift and as a result the artifact (MAST — Motion Artifact Sup­pres­sion Tech­ni­que) [⇒ Pattany 1987]. Its drawback is a slight pro­longation of the minimum echo time.


17-04-02 Flow Artifacts


The origin of flow artifacts is very simi­lar to that of motion artifacts, namely that the blood and CSF flow can be pulsatile. Thus, different flow velocities will be pre­­sent in different lines of the scan. The read and slice gradients induce a phase shift for flowing material, resulting in a range of phase shifts being produced in the course of a study [Van Dijk 1984]. The resulting arti­fact can take the form of a ge­­ne­­ral smearing or a number of distinct artifacts in the phase-encoding direction (Figure 17-08).


Figura 17-08:
The misregistration of flowing spins leads to the depicting of blood outside the vessel lumen: flow artifact.


The solutions are the same as for motion artifacts: the use of ECG gating to en­su­re that the same flow velocity is always observed and (or) the use of com­pen­sa­ted gra­dients to null the phase shift from flowing material.

Flow artifacts are particularly severe in gradient-echo images since in a 2D study the flowing spins will not have experienced the preceding pulses and will therefore be fully recovered.

This leads to a very strong signal from the flowing (arterial) blood, and therefore to severe artifacts in the absence of gating and motion com­pen­sa­tion (Figure 17-09). Venous flow also produces artifacts, but at a much lower level since this kind of flow is less pul­satile.


Figura 17-09:
Gradient-echo image of a neck with the pha­se en­coding gradient oriented ver­ti­cal­ly. Flow artifacts are ob­serv­ed as a column associated with arterial ves­sels


Where flow of blood or CSF degrades the diagnostic quality of the MR image, ar­ti­facts should be eliminated. This can be achieved by presaturation.

Here, additional RF pulses are applied which saturate spins outside the ima­ged region. Thus, blood flowing into this region is saturated, which causes a re­duc­tion in blood signal intensity and in flow artifact. Usually this is performed on both sides of the imaged slice because blood can enter the slice from either di­rec­tion.

Figure 17-10 depicts a theoretical example of parallel presaturation.


Figura 17-10:
Example of parallel presaturation. Presaturation pulses excite spins outside the slice to be imaged. Thus, flowing blood ar­ri­ves already saturated when the spins in the slice of interest are exposed to the ex­­ci­ta­tion pulse. The blood signal is sup­pres­sed and does not give rise to artifacts. The arrows indicate the direction of flow.