TwinTree Insert

20-06 Aplicaciones clínicas y primeras evaluaciones


principios de la década de 1980, la imaginería por RM empezó a evaluarse clínicamente. Uno de los grupos de investigación más admirables trabajaba en el Hospital Hammersmith de Londres. El jefe del grupo era Robert E. Stei­ner, pero Ian R. Young y Graeme M. Bydder eran las fuerzas motrices. Entre otros, Frank H. Doyle y Jacqueline M. Pennock complementaron este grupo.

Dado que la imaginería por RM se encuentra en la encrucijada entre la medicina, la biología, la química, la física, así como el procesamiento de datos, los grupos de investigación con fuertes relaciones interdisciplinarias y fertilización cruzada llegaron a ser científicamente muy fructíferos, …

… lo que dio lugar al sistema de "parejas disparejas", en el que participaban un médico y un científico. En los congresos, siempre se veía a Ian Young junto a Graeme Bydder (Figura 20-41), una combinación aparentemente ideal.

Hubo otras parejas como ellos (por ejemplo, Rinck y Muller, Figura 20-42), pero aparentemente una relación interdisciplinar de este tipo entre radiólogos y físicos o químicos no encaja en todos los sistemas académicos europeos.


Figura 20-41:
Graeme Bydder (izquierda) y Ian Young (1932-2019).


Figura 20-42:
Peter A. Rinck (izquierda) y Robert N. Muller (en la entrega del Premio Nobel 2003 a Paul C. Lauterbur y Peter Mansfield).


En un principio la imaginería clínica fue extremadamente difícil, requería mucho tiempo y a menudo era decepcionante. A modo de ejemplo: Las primeras imágenes de RM se basaron en diferencias de densidad de protones y, más tarde, en diferencias de ponderación T1. Las imágenes espín-eco, por ejemplo, supusieron un paso más importante de lo que muchos imaginan. Hoy en día se da por sentado y se ha sustituido en su mayor parte por técnicas de eco más rápidas; pero ha ayudado enormemente a que la IRM se convierta en una técnica rutinaria.

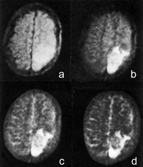
Hacia 1982-1983, los grupos de Hammersmith y Wiesbaden señalaron que las secuencias SE multieco fuertemente ponderadas en T2 largas destacaban mejor la patología (Figura 20-43) [⇒ Bydder 1982; ⇒ Rinck 1983].


Figura 20-43:
Imágenes de espín-eco de 1984 de un tumor cerebral recurrente tomadas en un sistema de 0,14 Tesla; TEs (a-d) entre 20 y 300 ms.
Los tiempos de eco largos en secuencias CPMG multieco supusieron un gran avance en la primera mitad de la década de 1980. Pasaron algunos años hasta que las imágenes ponderadas en T2 fueron generalmente aceptadas, sobre todo porque muchas empresas afirmaban que los TE largos no eran posibles ni necesarios.
Las imágenes se realizaron cinco años antes de la introducción de los agentes de contraste basados en Gd; el tumor se puede delinear mejor en la imagen (d) con un TE de 300 ms.
Ilustración de: Rinck PA, Bydder GM, y Harms SE. Imaginería por resonancia magnética del cerebro. Publicado en la primera edición de este libro de texto en 1985.


Desgraciadamente, está fuera del alcance de esta breve introducción mencionar a todos los trabajadores de todo el mundo que pueden atribuirse el mérito de haber contribuido al avance de este campo — lo cual no pretende menospreciar sus contribuciones a la imaginería por RM. Mencionamos ante todo nuestro propio trabajo, el de nuestros colaboradores, estudiantes y colegas académicos porque estamos más familiarizados con él — y podemos evaluarlo y juzgarlo.


spaceholder redEn las décadas de 1980 y 1990, la imaginería por resonancia magnética era la última modalidad de diagnóstico de la imaginería médica. Competía con otros métodos de imaginería y las preguntas eran: "¿Cuándo se utiliza qué?" y "¿Cuál es y será el impacto de la imaginería por resonancia magnética en el sistema sanitario?"

A mediados de la década de 1980 ya se habían realizado estudios de evaluación del uso de la imaginería por RM. Por muy valiosos que fueran estos estudios, se realizaron demasiado pronto, cuando la tecnología aún estaba inmadura. La rápida evolución de la tecnología invalida de inmediato este tipo de estudios de eficacia. Se necesita cierto grado de estabilidad tecnológica para fomentar una inversión significativa en ella. En el caso de la IRM, este tipo de evaluación fue posible tras más de diez años de uso clínico.

Así, en octubre de 1993, una treintena de equipos en los que participaban un centenar de científicos se reunieron en Lugano (Suiza) para intentar alcanzar al menos un consenso básico. Habían elaborado unos esbozos básicos de recomendaciones sobre cómo aplicar la imaginería por RM en determinadas cuestiones diagnósticas. Este esfuerzo conjunto fue patrocinado por dos docenas de asociaciones médicas internacionales, una docena de empresas comerciales y la Organización Mundial de la Salud. El objetivo principal era iniciar el proceso de creación de gamas y vías de diagnóstico para la correcta aplicación de la imaginería por RM (Figuras 20-44 y 20-45).


Figura 20-44:
Ponentes en la sesión inaugural de la conferencia sobre "El uso racional del diagnóstico por imagen", celebrada en Lugano (Suiza) en 1993: Albert Baert (Amberes), Josef Lissner (Múnich) y Alexander Margulis (San Francisco) — presentando la RM científica a un público médico.


Figura 20-45:
Portada de las actas: "El uso racional del diagnóstico por imagen".


Los resultados se publicaron en un libro de 450 páginas [⇒ Rational Use 1995]. En su prólogo se afirma:

"Durante los tres años que ha durado la fase de planificación de esta conferencia se ha hecho evidente que a los organismos públicos les encantan las declaraciones sobre la necesidad de recortar costos, pero aparte de hacer comentarios banales no contribuyen de forma constructiva a los esfuerzos de reducción de costos como el que intentamos llevar a cabo aquí. Para los ministerios de sanidad de toda Europa este esfuerzo vale la pena, para los organismos de reembolso y de seguros también vale la pena llegar a un consenso; sin embargo, apoyar realmente tal empeño no parece formar parte de sus responsabilidades. La tarea queda entonces en manos del resto de nosotros y, por ello, la conferencia de Lugano y este libro representan nuestra contribución inicial …

Como es evidente, el rompecabezas contiene varias piezas y quizá tenga más de una solución. Una característica indiscutible era común a todos los participantes en esta reunión: la creencia inequívoca en los beneficios — presentes y potenciales — de la IRM. El proceso de evaluación ha comenzado y el camino a seguir vendrá determinado por una acción concienzuda por parte de los implicados. Para que las decisiones sobre disponibilidad no se determinen únicamente por el costo y se dejen en manos de políticos y burócratas, tanto la comunidad médica como la industria tendrán que continuar este proceso de evaluación y lograr especifica­ciones concluyentes sobre las indicaciones clínicas y el futuro desarrollo de la IRM."


Un estudio publicado treinta años más tarde descubrió que el 24% de los exámenes de IRM eran inadecuados y una comparación con un estudio anterior no reveló una mejora sino más bien lo contrario [⇒ Ståhlbrandt 2023].

La única certeza en los asuntos humanos es que nunca están en estado estacion­ario. Lo mismo ocurre con el diagnóstico médico y la terapéutica en general. El péndulo de la actitud popular oscila siempre en uno u otro sentido y hay una evolución permanente que no permite llegar a una conclusión definitiva. Tal vez una supervisión más estricta y una formación interdisciplinaria más intensiva podrían contribuir a un uso más adecuado de la tecnología.